biologiste-background

Liquide de lavage broncho-alvéolaire (cytologie)

L’examen de référence pour évaluer les voies respiratoires profondes du cheval et diagnostiquer et caractériser une inflammation.

Prélèvement

Tube EDTA

Acheminement

Idéalement < 24 h, sous couvert du froid (ne pas poser directement sur le pain de glace)

Délai de réponse

24 à 48H

Coût

54,30 € TTC (2026)

Principe

Le lavage broncho-alvéolaire (LBA) permet l’échantillonnage des petites voies aériennes et des alvéoles pulmonaires.
L’analyse cytologique du LBA est un outil de référence pour caractériser le type d’inflammation respiratoire profonde (aseptique, infectieuse, hémorragique, parasitaire) et orienter le diagnostic des affections pulmonaires chroniques, notamment l’asthme équin.

Méthode de prélèvement (conditions pré-analytiques essentielles)

Deux techniques possibles :

LBA “à l’aveugle”
Une sonde est introduite jusqu’à buter dans une bronche,
permettant généralement un prélèvement du poumon dorsal droit.

LBA par endoscopie
Permet de cibler précisément le poumon droit et/ou gauche (Depecker et al., 2014).

Recommandation ACVIM : 250 à 500 ml de sérum physiologique en deux bolus minimum (Couëtil et al., 2016).
Récupération habituelle : ~ 50 % du volume instillé (beaucoup moins asthme sévère)
Liquide typiquement légèrement trouble et mousseux (présence de surfactant).

Astuces pour la pratique :

  • Moins de toux avec du serum physiologique tiède
  • Pour les asthmatiques sévères, possibilité d’instiller de la Lidocaïne avant de réaliser le LBA. Attention au délai dopage de ce produit pour les chevaux de sport ou de course.

Cytologie du LBA chez le cheval sain

Aspect cellulaire normal (valeurs indicatives)

  • Macrophages alvéolaires : ~ 60 % (Photo 1 – flèche violette)
  • Lymphocytes : ~ 35 % (Photo 1 – flèche orange)
  • Neutrophiles : < 5–10 % (Photo 2 – flèche verte)
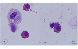
  • Éosinophiles : < 1–5 % (Photo 3)
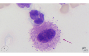
  • Mastocytes : < 3–5 % (Photo 4 –présence de dégranulation (flèche violette))
  • Cellules épithéliales : absentes ou très rares (Photo 5)
  • Ratio Hémosidérophages / Macrophages (H/M) < 17 %

Interprétation cytologique – profils pathologiques

Inflammation aseptique – Asthme équin léger à modéré (Inflammatory Airway Disease / IAD)

  • Neutrophiles > 5–10 % et/ou
  • Mastocytes > 3–5 % et/ou
  • Éosinophiles > 1–5 %

Inflammation aseptique – Asthme équin sévère (anciennement Recurrent Airways Obstruction / RAO)

  • Neutrophiles souvent > 25 % mais un asthme sévère peut également être pauci-cellulaire

Présence fréquente de :

      • Mucus
      • Spirales de Curschmann (Photo 6)
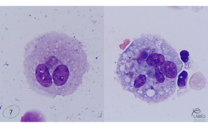
      • Macrophages multinucléés (Photo 7)

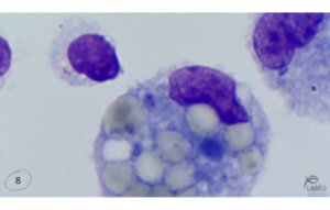
Hémorragie pulmonaire induite à l’exercice (HPIE)

  • Présence d’érythrophages (Photo 8)
  • Présence d’hémosidérophages (coloration de Perls utile) – Depecker et al. (2015)
  • Ratio Hémosidérophages /Macrophages généralement > 17 %

Photo 9 : Hémosidérophage d’environ 5 jours

La cytologie du liquide de lavage broncho-alvéolaire (LBA) constitue aujourd’hui la méthode de référence pour le diagnostic cytologique de l’hémorragie pulmonaire induite par l’exercice (HPIE). En quantifiant le ratio hémosidérophages/macrophages, le LBA permet de détecter des épisodes d’hémorragie pulmonaire subclinique ou ancienne, parfois absents à l’endoscopie ou au lavage trachéal. Les études récentes montrent une absence de corrélation fiable entre lavage trachéal et LBA pour le diagnostic de l’HPIE, confirmant que le LBA reste l’échantillon le plus sensible et le plus spécifique pour documenter une hémorragie pulmonaire d’origine alvéolaire chez le cheval, y compris à distance de l’exercice (Barbazanges et al. (2024)).

Autres éléments cytologiques

Éléments fongiques

Les éléments fongiques sont fréquemment détectés dans les voies respiratoires du cheval, mais leur signification clinique dépend fortement du site de prélèvement et de la méthode analytique.
Dans une large étude prospective (Barbazanges et al. 2025) incluant chevaux sains, asthmatiques modérés et sévères, la détection cytologique de champignons dans le LBA était rare (≈18 %) et non discriminante entre chevaux sains et asthmatiques modérés. En revanche, la culture fongique du LBA, bien que peu sensible, était significativement associée à l’asthme équin modéré, ainsi qu’à une augmentation du mucus trachéal et de la neutrophilie du LBA.
Ainsi, la mise en évidence cytologique de spores ou d’hyphes dans le LBA ne suffit pas à elle seule à conclure à un rôle pathologique, et doit toujours être interprétée au regard du contexte clinique, de l’inflammation associée et idéalement des résultats de culture.

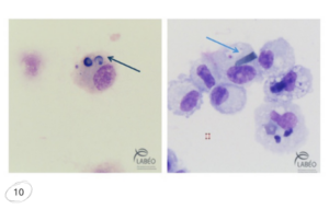
Photo 10 : Élément fongique avec flèche bleue marine pour indiquer la présence d’une spore et bleue claire pour indiquer la présence d’une hyphe

Intérêt biologique du LBA

Le LBA est l’examen de choix pour :

  • Caractériser le type d’inflammation pulmonaire (neutrophilique, éosinophilique, mastocytaire ou mixte),
  • Objectiver une HPIE,
  • Guider la prise en charge thérapeutique

 Message clé LABÉO

Le LBA est l’examen de référence pour analyser l’inflammation des petites voies aériennes
et distinguer asthme équin modéré, asthme sévère et
hémorragie pulmonaire induite à l’exercice.

POUR EN SAVOIR PLUS

Depecker M, Richard EA, Pitel PH, Fortier G, Leleu C, Couroucé-Malblanc A. Bronchoalveolar lavage fluid in Standardbred racehorses: influence of unilateral/bilateral profiles and cut-off values on lower airway disease diagnosis. Vet J. 2014 Jan;199(1):150-6. doi: 10.1016/j.tvjl.2013.10.013. Epub 2013 Oct 17. PMID: 24225534.

Depecker M, Couroucé-Malblanc A, Leleu C, Genneviève V, Pitel PH, Richard EA. Comparison of two cytological methods for detecting pulmonary haemorrhage in horses. Vet Rec. 2015 Sep 26;177(12):305. doi: 10.1136/vr.103332. Epub 2015 Sep 15. PMID: 26374784.

Couëtil LL, Cardwell JM, Gerber V, Lavoie JP, Léguillette R, Richard EA. Inflammatory Airway Disease of Horses–Revised Consensus Statement. J Vet Intern Med. 2016 Mar-Apr;30(2):503-15. doi: 10.1111/jvim.13824. Epub 2016 Jan 24. PMID: 26806374; PMCID: PMC4913592.

Couetil L, Cardwell JM, Leguillette R, Mazan M, Richard E, Bienzle D, Bullone M, Gerber V, Ivester K, Lavoie JP, Martin J, Moran G, Niedźwiedź A, Pusterla N, Swiderski C. Equine Asthma: Current Understanding and Future Directions. Front Vet Sci. 2020 Jul 30;7:450. doi: 10.3389/fvets.2020.00450. PMID: 32903600; PMCID: PMC7438831.

Barbazanges P, Couroucé A, Le Digarcher G, Cardwell JM, Schmitt E, Toquet MP, Lemonnier LC, Richard EA. Association between fungal detection, airways inflammation and diagnosis of moderate to severe asthma in horses. Equine Vet J. 2025 Nov;57(6):1531-1542. doi: 10.1111/evj.14470. Epub 2025 Jan 29. PMID: 39887435.