biologiste-background

Liquide de lavage trachéal (cytologie)

Une fenêtre directe sur l’inflammation trachéale et une aide à l’interprétation d’une analyse bactériologique

Prélèvement

Tube EDTA

Acheminement

Idéalement < 24 h, sous couvert du froid (ne pas poser directement sur le pain de glace)

Délai de réponse

24-48H

Coût

54,30 € TTC (2026)

Principe

Le lavage trachéal (LT) est un examen cytologique permettant d’évaluer la composition cellulaire et la qualité des sécrétions dans la trachée. Il constitue un outil majeur dans l’exploration des maladies inflammatoires et infectieuses respiratoires du cheval.

Le prélèvement est réalisé par voie trans-trachéale ou avec un endoscope à l’aide d’un cathéter introduit dans le canal opérateur (cathéter protégé de préférence).

Intérêt du prélèvement (site et représentativité)

La trachée est le carrefour des voies respiratoires profondes, ce qui rend le LT particulièrement pertinent pour :

  • Le diagnostic des infections bactériennes ou virales,
  • L’évaluation de l’inflammation trachéal,
  • L’orientation des examens complémentaires (culture bactérienne, PCR, etc.).

Cytologie normale chez le cheval sain

Aspect macroscopique attendu

  • Quantité modérée à importante de mucus, d’aspect filandreux.
  • Présence possible de granules de mucine libres en arrière-plan.

Cellularité (référence physiologique)

La cellularité nucléée est faible à modérée, composée principalement de :

Composition de la cellularité nuclée
Cellules Interprétation
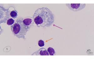
Macrophages (photo 1 - flèche violette) Majoritaires
Cellules épithéliales ciliées (photo 2) Souvent en amas, parfois isolées
Lymphocytes (photo 1 - flèche orange) Présents en proportion modérée
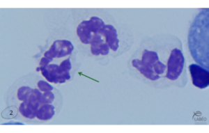
Neutrophiles (photo 3 - flèche verte) < 20 % chez un cheval sain
Cellules géantes ou caliciformes (photo 4) Peu nombreuses, dispersées ou au sein d’amas

Interprétation

Tableau de synthèse cytologique
Résultat cytologique Signification probable
LT riche en mucus + macrophages Prélèvement représentatif
Neutrophiles > 20 % Inflammation trachéale
Anomalies morphologiques des cellules ciliées Suspicion d’infection virale
Cellules malpighiennes Contamination pharyngée : bactériologie non fiable
Spirales de mucus Inflammation chronique des voies aériennes (asthme sévère possible, à confirmer avec un LBA)
Éosinophiles Suspicion de dictyocaulose

Éléments cytologiques d’intérêt clinique

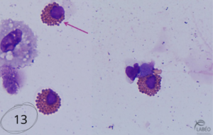
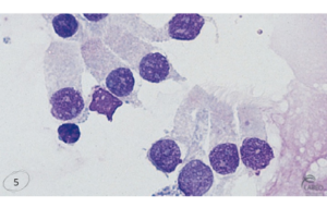
Anomalies morphologiques des cellules épithéliales ciliées - Photo 5

  • Altération/déformation des cellules épithéliales ciliées
  • Souvent associée à des infections virales respiratoires chez le cheval.

Cellules malpighiennes (squameuses) – Photo 6

  • Ne doivent pas être présentes dans un liquide de lavage trachéal
  • Leur présence traduit une contamination oropharyngée → bactériologie non fiable sur ce prélèvement.

Neutrophiles dégénérés – Photo 7

Signe de l’existence d’une infection

Bactéries – Photo 8

  • Bactéries libres ou phagocytées : compatibles avec une infection bactérienne ou une contamination : interprétation contextuelle indispensable.

Hyphes et spores fongiques – Photo 9

Peuvent être observées, souvent fixées aux macrophages.

Fréquentes chez les chevaux :

  • En écurie,
  • Nourris avec foin poussiéreux/moisi,
  • Même sans signes cliniques

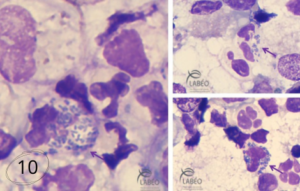
Spirales de mucus (Spirales de Curschmann) - photo 10

  • Accumulation de mucus dans les bronches/bronchioles.
  • Témoignent d’une altération de la production de mucine en contexte inflammatoire.
  • Fréquentes dans l’asthme équin sévère, mais possibles dans d’autres affections (ex. fibrose pulmonaire multinodulaire équine) – LBA indispensable pour confirmation

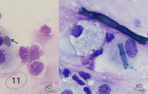
Éosinophiles- photo 11

  • Leur présence peut être évocatrice d’une infection à Dictyocaulus arnfieldi (chevaux vivant avec des ânes)

Éléments fongiques dans le lavage trachéal : comment les interpréter

La détection d’éléments fongiques (hyphes ou spores) dans un lavage trachéal (LT) est une observation fréquente chez le cheval, y compris en l’absence de signes cliniques respiratoires.

L’étude récente de Barbazanges et al. (2025) montre que la présence de matériel fongique dans les voies aériennes supérieures est souvent liée à l’exposition environnementale (poussières, foin, balles rondes) et n’est pas systématiquement associée à une inflammation des voies respiratoires ni à une pathologie clinique avérée.

Les auteurs soulignent l’absence de relation directe entre la simple détection fongique au LT et le diagnostic de maladies respiratoires inflammatoires, en particulier lorsque la cytologie ne met pas en évidence de réponse inflammatoire concomitante.
Ainsi, la présence d’éléments fongiques au LT doit être interprétée avec prudence et toujours replacée dans le contexte clinique, cytologique et, si nécessaire, complétée par un lavage broncho-alvéolaire (LBA), plus représentatif du compartiment alvéolaire et de la pathologie pulmonaire profonde

Intérêt biologique

La cytologie du LT permet :

  • D’objectiver une inflammation respiratoire,
  • D’orienter vers une étiologie (infectieuse, virale),
  • De juger de la pertinence des analyses microbiologiques.

Message clé LABÉO

Un lavage trachéal de qualité doit contenir du mucus ;
l’analyse cytologique permet de distinguer inflammation,
infection et contamination, et conditionne la fiabilité des examens microbiologiques.

POUR EN SAVOIR PLUS