biologiste-background

Liquide céphalo-rachidien (cytologie et biochimie)

Fenêtre biologique directe sur l’état inflammatoire et infectieux du système nerveux central.

Prélèvement

Tube EDTA pour envoi de LCR
Joindre un tube de sang sur tube sec pour calcul du ratio des globulines

Acheminement

Idéalement < 24 h, sous couvert du froid (ne pas poser directement sur le pain de glace)

Délai de réponse

24-48H

Coût

93,56 € TTC (2026)

Principe

Le liquide céphalorachidien (LCR) est un ultrafiltrat modifié du plasma qui entoure le cerveau et la moelle épinière.
Il assure un rôle de protection mécanique, de nutrition et de défense immunitaire du système nerveux central (SNC).
Son analyse cytologique et biochimique est un outil majeur dans l’exploration des affections neurologiques chez le cheval.

Prélèvement

Le LCR peut être prélevé par ponction :

  • Atlanto-occipitale (AO),
  • Cervicale (C1–C2),
  • Lombo-sacrée (LS).

Le site est choisi selon la localisation suspectée de la lésion (cerveau vs moelle).
L’analyse doit idéalement être réalisée dans l’heure suivant le prélèvement en raison de la fragilité cellulaire.

Analyse

1. Examen macroscopique

LCR normal :

  • Incolore,
  • Limpide,
  • Non coagulable.

Anomalies possibles :

  • Trouble → inflammation ou hypercellularité,
  • Rouge → contamination sanguine ou hémorragie,
  • Jaune (xanthochromie) → hémorragie ancienne.

2. Cytologie

Valeurs usuelles (cheval adulte)

  • Cellules nucléées totales (TNCC) : < 5–8 cellules/µL
  • Neutrophiles : < 10 %
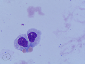
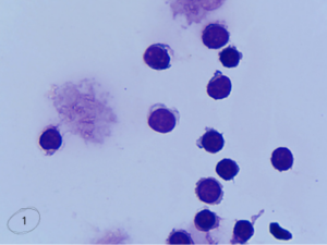
  • Cellules mononucléées (lymphocytes – photo 1 + macrophages – photo 2) : > 90 %

Profils pathologiques

Interprétation cytologique
Profil cytologique Orientation clinique
Lymphocytaire Encéphalite virale (EHV-1, West Nile, rage)
Neutrophilique Méningite bactérienne, Eastern Equine Encephalitis
Eosinophilique Parasitose, infection fongique
Mixte Processus inflammatoire non spécifique
Cellules atypiques Suspicion néoplasique

3. Biochimie

Protéines

  • Atlanto-occipitale (AO) < 65 mg/dL
  • Lombo-sacrée (LS) < 80 mg/dL

Augmentation :

  • Inflammation,
  • Infection,
  • Traumatisme,
  • Tumeur.

Glucose

  • ≈ 35–75 % de la glycémie sanguine.
    Diminution :
  • Inflammation septique,
  • Méningite bactérienne.

Interprétation en fonction du site de prélèvement

L’article de Young et al. (2022) démontre pour la première fois, sur une large cohorte (113 équidés), que le site de prélèvement influence significativement certains paramètres du LCR. En particulier, les prélèvements lombo-sacrés (LS) présentent en moyenne plus de globules rouges (contamination sanguine plus fréquente) et une protéinorachie plus élevée que les prélèvements atlanto-occipitaux (AO) et atlanto-axiaux (AA). Les prélèvements AA et LS montrent aussi des TNCC légèrement plus élevés que l’AO dans les échantillons cytologiquement normaux.

Cet article montre également que :

  • Une contamination sanguine (>500 GR/µL) augmente artificiellement le TNCC et les protéines,
  • Une cytologie anormale est significativement associée à la non-survie,
  • Un TNCC > 24 cellules/µL est associé à un pronostic défavorable (mais avec une valeur prédictive modérée).

Message clé apporté par cet article :
Les valeurs du LCR doivent être interprétées en fonction du site de prélèvement. Le site LS est le plus à risque de faux positifs liés à la contamination sanguine, ce qui a un impact direct sur l’interprétation clinique (notamment pour l’Equine Protozoal Myeloencephalitis ou EPM due à Sarcocystis neurona (principal) ou Neospora hughesi (rare) et maladies inflammatoires).

Intérêt clinique

L’analyse du LCR permet :

  • D’objectiver une atteinte inflammatoire du SNC,
  • D’orienter vers une origine infectieuse, parasitaire ou tumorale,
  • D’appuyer le diagnostic différentiel des troubles neurologiques.

Limites

  • Un LCR normal n’exclut pas une affection neurologique.
  • Les lésions extradurales ou très localisées peuvent ne pas modifier le LCR.
  • Les résultats doivent toujours être interprétés avec l’examen clinique et l’imagerie.

Message clé LABÉO

Le LCR est un outil diagnostique essentiel mais non spécifique :
il permet de confirmer une inflammation du système nerveux central,
sans jamais se substituer au raisonnement clinique global.

POUR EN SAVOIR PLUS